
Kalėjimas yra panašus į kaulų žiedą ant bagažinės grindų. Kiekvienas susideda iš abiejų pusių, kiekvienoje iš jų yra trys kaulai, ium, veiksmas ir gėdingas.
Baseino gabalai yra labiau rodomi Dažnai su mažomis ir sveikomis katėmis Apskritai tai yra reikšmingas poveikio rezultatas, kurį sukelia automobilio avarija ar dydis. Vidiniai pažeidimai yra paplitę katėse su sulaužytais baseinais, kurie gali paveikti šlapimą ar krūtinės pažeidimą ar nervus.
simptomas
- Eik pas katę. Priešingu atveju jūs negalite to padaryti (mūsų katė baseine gali pabėgti ir slėptis po krūmu).
- Asarotas
- Išorinės žaizdos ir korozija
- Yra problemų
Turėtumėte ką nors pamatyti, net jei jums patinka įtartinas veterinarijos gydytojas.
Ruduo
Saugokitės katės su sulaužytu baseinu. Katės negali išvengti papildomų sukrėtimų.
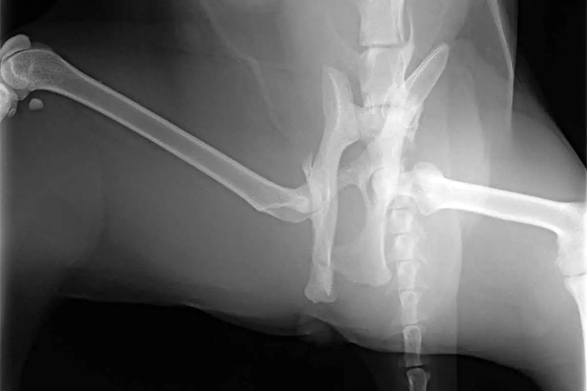
Veterinarijos gydytojas atidžiai studijuoja katę ir gauna savo istoriją. Fizinės apžiūros metu galite klausytis intervalo. Diagnozę galima patikrinti X -srautą.
Be to, norint patikrinti, ar nėra vidinės žalos, turite atlikti x -G krūtis.
yra toksiškas katėms
karaliauti
Konservatyvi valdymas:
Dėl skausmo ir skausmą malšinančių vaistų patogumo pailsėkite trumpai, kad kontroliuotumėte skausmą.
Ląstelė ir toliau mažina srautą (naudotą erdvę). Patogus maistas su maistu ir vandeniu už laiptų narve su katė. Šlapimo terapija katės kvapui be pagalbos. Veterinarijos gydytojai gydymo metu gali suteikti katėms fizinės terapijos pratimus.
kodėl mano katė spokso į mane
Chen Cats Zina Įveskite Per savaitę.
Medicinos valdymas:
Az időjárási viszonyok nagy megszakításához műtétet igényelnek a valós és a megfelelő csontok általános érzéstelenítése alatt. Ide tartozhatnak a körmök, festmények, csavarok vagy kábelek.
Kai jį pasiimate ir sugadinsite, galite grįžti namo. Praėjus savaitei po renginio, mūsų katė savaitę buvo paleista iš ligoninės ir šešias savaites buvo įtraukta į narvą.
sudėtinga
Kriauklė sukelia vidurių užkietėjimą Daisy Su paveikta katė (sunku apšviesti). Artritas ateinančiais metais vystysis.
Katės gali pritvirtinti kaulus ir neurologinius pažeidimus prie operacijos. Bet tai retai.
Namų priežiūra
Nepaisant rezultatų, katė šešias savaites gali pasukti baseiną. Privalumas yra neleisti kačių judėti ir augti. Didžioji šunų dėžutė yra ideali, nes ji tinka smėliui, maistui, vandeniui ir kačių lovoms.
Iš pradžių eismas gali būti sudėtingas, todėl įsitikinkite, kad batai atliekos yra žemi. Mes naudojame dėžutę, kuri supjaustoma ir supjaustoma patinimo smiltainiu.
Apsvarstykite katės baseino įpročius, kai atsigaunate, ir įsitikinkite, kad sąnarys yra perkeltas. Suraskite tiesioginį susidomėjimą, kai nustojate eiti į vonios kambarį.
Dauguma kačių kenčia nuo neramių poilsio.
Ilgas -laikotarpio vertinimas
Katės gauna rezultatus su puikiais sulaužytais baseinais. Pastaraisiais metais ilgalaikės problemos gali apimti nuolatines ribas ir klubo uždegimą. Mūsų katės yra beveik visiškai patobulintos, o nugara yra abejotina, tačiau neatrodo, kad jos paveiktos.
katės krepšys
Jei sveika moteris yra sužeista, dubens gali sumažinti gimimo kanalą, kuris gali dominti adaptaciją.